Procedures performed in-office
Achieving outcomes of naturally beautiful teeth
SELECT A
PROCEDURE
Crowns
Porcelain-to-Metal 〉
Porcelain Margins / Butt Crowns 〉
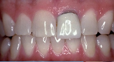
All Porcelain 〉
Crowning or Capping a tooth is a longer lasting, although less conservative, treatment alternative that requires reducing the outer 1.5-2 millimeters of tooth in all dimensions in order to make space for a laboratory created tooth replacement. Although we would always prefer to save as much tooth structure as possible, it is not always feasible nor preferable for all situations. More severe corrections can be created by appropriate use of crowns. Despite their drawbacks, crowns can be beautifully sculpted works of art which can not be detected by even a trained eye.
There are many types of crowns on the market today, each with its pros and cons. Ask your dentist which is most appropriate for your situation. In this section you will see examples of porcelain fused to metal crowns, porcelain fused to metal crowns with porcelain margins and all ceramic crowns. Each has its place in cosmetic dentistry.
Porcelain fused to metal crowns (PFMCs) are the "gold standard" by which all crowns are measured as far as fit, strength and durability. They have been used for many years and have an excellent track record. The one problem with PFMCs has been their inability to esthetically emulate natural teeth. The main reason for this is the inherent nature of the materials. Teeth get their esthetics from their reflected as well as transmitted light through the multiple layers which comprise their structure. The blood supply in the center, the dentin layer, and the enamel matrix provide a dazzling array of optical effects which are impossible to replicate exactly with porcelain fused to metal crowns. The main reason for this is that the metal blocks out all light transmission through it's path and all light is then reflected only. There also needs to be an opaque layer of porcelain applied over the metal substructure in order to mask out the gray colored metals most commonly used. Frequently this opaque layer is visible in the final crown, unless enough tooth has been removed in order to create thick enough overlying porcelain to mask it too.
We have all seen bad PFM crowns. They stand out like a sore spot in a smile. They look too bright, frequently are misshapen, or have a dark line at the gumline. These crowns can easily be remade and with the knowledge and expertise available today, the new crowns can look as good as natural teeth. You will see some examples in the PFMC section.
Because of the need for esthetic crowns, many techniques have been developed to deal with certain situations. The second section, PFMCs with porcelain butt margins are a slight modification whereby the metal edge is removed from the metal substructure and it is replaced with a special kind of porcelain (shoulder porcelain), which extends down to the junction of the tooth and crown (the margin). In the past this technique was unavailable because porcelains shrank too much during the firing cycle, leaving the margins open. When a margin does not fit the underlying tooth intimately, the tooth is susceptible to caries and the crown will ultimately fail and need to be replaced. Shoulder porcelains were specially created, low shrinking ceramics which eliminate this problem when used properly. They give us the ability to create highly esthetic crowns, without dark margins, while providing the strength of porcelain fused to metal crowns.
All porcelain crowns have been around in many forms for years and years. They were commonly called Porcelain Jacket Crowns or PJCs. In Hollywood they were and are a common occurrence. When done well, they are hard to distinguish from natural teeth. Esthetically they have no equal. Unfortunately, they had a tendency to fracture due to crack propagation throughout the ceramic material as they were used. This problem had led us to develop newer ceramic systems which are either pressed into a mold in a molten state or Slip cast. The newest Pressed Ceramic systems are called Empress or Optimal. They have a high Leucite content, which prevents the microcracks from propagating. They are highly esthetic and have a good track record so far in front teeth They are not regularly recommended for back teeth since they do not seem to be able to withstand the biting forces applied in this area.. They gain much of their strength by being BONDED to the underlying tooth using composite resin bonding systems.
The slip cast systems were developed by a company called VITA, and are called In-Ceram. They have developed two systems called In-Ceram Alumina and In-Ceram Spinnell. The Alumina variant is a magnesium, aluminum infiltrated glass and creates a crown which is strong enough to be used in back (posterior) teeth. The Spinnell version is more translucent, but is also weaker. It is ideal for front teeth as well as Inlays, where the tooth provides the strength.
Depending upon the esthetic result required, the dentist and ceramist must determine which of the systems is right for your particular needs. Each one has pros and cons, just like each of the techniques described in this website. It is only by understanding the needs of the patient together with understanding the materials' strengths and limitations, that a great final result can be obtained.









